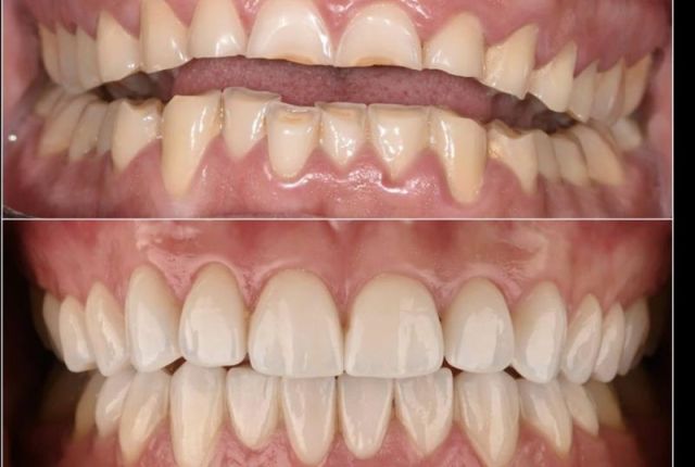
Définition : qu’est-ce qu’une facette dentaire ?
Une facette dentaire est une fine pellicule, généralement conçue en céramique, qui se fixe sur la surface visible de la dent. Son rôle principal est d’améliorer l’esthétique du sourire en corrigeant la forme, la couleur ou l’alignement des dents. Apparue dans les années 1980, cette technique s’est largement démocratisée au début des années 2000 grâce aux avancées à la fois technologiques et matérielles, rendant les résultats plus naturels et durables.

Pourquoi choisir les facettes dentaires ?
Les facettes dentaires sont indiquées pour améliorer l’esthétique du sourire. Elles permettent d’éclaircir la teinte des dents, de corriger certaines irrégularités de forme ou encore de dissimuler de légers défauts liés à l’usure ou aux chocs. Dans certains cas, elles offrent aussi une alternative pour atténuer de petits problèmes d’alignement, apportant ainsi un rendu plus harmonieux et naturel.
Quels sont les atouts des facettes dentaires ?
Les facettes dentaires représentent une alternative intéressante à différents traitements esthétiques tels que la couronne, le blanchiment ou encore l’orthodontie. Contrairement à la couronne, elles préservent la quasi-totalité de la dent naturelle, puisque seule une préparation minime est nécessaire. Par rapport au blanchiment, elles garantissent un résultat plus durable et particulièrement efficace sur les dents très foncées. Enfin, dans certains cas, elles permettent d’éviter un traitement orthodontique en corrigeant de légers espacements entre les dents, tout en apportant un sourire plus homogène.
Quels sont les inconvénients des facettes dentaires ? Durée de vie, coût et remboursement
La mise en place de facettes dentaires nécessite de retirer une fine couche d’émail, ce qui rend l’intervention irréversible. Une fois posées, il faudra donc conserver des facettes tout au long de sa vie, puisqu’un retour à l’état naturel de la dent n’est plus possible (sauf évolution technologique préservant totalement l’émail). Leur durée de vie étant limitée, elles devront être changées au moins une ou plusieurs fois au fil des années. À cela s’ajoute un coût relativement élevé, généralement non remboursé par la Sécurité sociale.
Quels sont les différents types de facettes dentaires ?
Les facettes dentaires se déclinent en plusieurs catégories selon le matériau utilisé pour leur conception. Le choix dépend principalement du budget du patient et du rendu esthétique souhaité.
-
Les facettes en céramique
Réalisées à partir de céramique, elles sont les plus courantes et reconnues pour leur résistance et leur rendu naturel. On distingue notamment la céramique feldspathique, utilisée par exemple pour les facettes Lumineers. Ce type de facette est parfois également désigné sous le terme de facettes en porcelaine.
-
Les facettes en résine composite
Moins coûteuses que les modèles en céramique, elles constituent une alternative plus accessible. Leur pose est plus rapide, mais leur durabilité et leur rendu esthétique restent généralement inférieurs à ceux des facettes en céramique.
Quelles sont les contre-indications à la pose de facettes dentaires ?
La pose de facettes n’est pas adaptée à tous les patients. Elle est généralement déconseillée lorsque :
-
l’émail dentaire est trop mince pour permettre une fixation correcte,
-
les dents sont fragilisées ou trop détériorées,
-
l’hygiène bucco-dentaire n’est pas satisfaisante.
De plus, les personnes ayant des caries non traitées ou souffrant d’un bruxisme important (grincement des dents) doivent éviter ce type de traitement. Enfin, il est important de préciser que les facettes sont destinées uniquement aux dents visibles du sourire : incisives, canines et parfois prémolaires.
Comment se déroule la pose des facettes dentaires ?
La mise en place de facettes dentaires se fait en plusieurs étapes successives :
-
Préparation des dents
le praticien polit légèrement la surface des dents afin de créer l’espace nécessaire pour accueillir les facettes.
-
Prise d’empreintes
celles-ci permettent de fabriquer des facettes sur mesure, parfaitement adaptées à la dentition du patient.
-
Facettes provisoires
en attendant la fabrication définitive, des facettes temporaires sont posées pour protéger les dents.
-
Pose finale
une fois prêtes, les facettes permanentes sont fixées grâce à une colle dentaire spécifique.
Numéro de téléphone pour nous contacter sur WhatsApp à tout moment :
079 907 70 39
Numéro de téléphone de garde, uniquement en cas d’urgence (CHF 0.50 l’appel + CHF 2.00 par minute – tarif d’appel depuis un réseau fixe) :
0900 144 044
079 907 70 39
Numéro de téléphone de garde, uniquement en cas d’urgence (CHF 0.50 l’appel + CHF 2.00 par minute – tarif d’appel depuis un réseau fixe) :
0900 144 044
CONTACT
Rue du Scex 2 – Batiment Coop-city
1950 Sion
1950 Sion
027 323 00 23
Rue du Scex 2 – Batiment Coop-city 1950 Sion
Rue du Scex 2 – Batiment Coop-city 1950 Sion